Tratamento periodontoal com qualidade é na Velasco odontologia

Laserterapia

O uso do laser de baixa potência auxilia na descontaminação das bolsas periodontais, reduz a sensibilidade e acelera a cicatrização dos tecidos em até 3x.

Tratamento periodontoal com qualidade é na Velasco odontologia

Tecnologia de Ultrassom

Esqueça o desconforto das limpezas antigas. Utilizamos vibrações ultrassônicas de alta precisão que removem o tártaro sem agredir os tecidos moles. Protege suas gengivas, reduz o sangramento e torna o tratamento periodontal muito mais tranquilo!

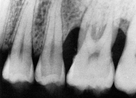
Tratamento periodontoal com qualidade é na Velasco odontologia

Diagnóstico por Imagem Digital

Tomografias e radiografias digitais para avaliar a perda óssea com precisão milimétrica antes de iniciar qualquer procedimento.

Trate sua saude dentária na Velasco Odontologia

Não tratamos apenas dentes; cuidamos da sua saúde integral e da longevidade do seu sorriso.

Muitos pacientes chegam até nós com medo de perder os dentes ou receio de sentir dor durante o tratamento de gengiva. Na Odontologia Velasco, mudamos essa experiência através de uma abordagem acolhedora, técnica e focada na preservação.

Aqui estão os pilares que baseiam nossa Periodontia:

  • Filosofia Conservadora: Nossa prioridade absoluta é salvar seus dentes naturais. Utilizamos técnicas regenerativas para estabilizar a doença, entendendo que nenhum implante supera a função do seu próprio dente quando é possível preservá-lo.
  • Conforto e Tecnologia Ultrassônica: O tratamento periodontal não precisa ser doloroso. Utilizamos Ultrassom Piezoelétrico, que remove o tártaro através de vibrações precisas e irrigação, sendo muito mais gentil e confortável do que as raspagens manuais antigas.
  • Visão de Medicina Periodontal: Atuamos com foco na saúde sistêmica, entendendo a ligação entre a gengiva e o resto do corpo. O tratamento visa reduzir a carga inflamatória geral, protegendo sua saúde cardíaca e auxiliando no controle do diabetes.
  • Diagnóstico e Plano Individualizado: Não realizamos protocolos padronizados. Cada paciente passa por uma sondagem detalhada para identificar a origem do problema, criando um plano de manutenção específico para evitar que a doença volte a evoluir.

Realize a prevenção e o tratamento da sua gengiva em um único lugar. Nossa clínica no Sacomã, em São Paulo, possui estrutura completa para o diagnóstico preciso e o controle da doença periodontal, garantindo agilidade, conforto e a preservação do seu sorriso do início ao fim.

A temos as princiais duvidas de nossos pacientes respondidas:

O tratamento de raspagem periodontal dói?

Não. Na Odontologia Velasco, o conforto do paciente é prioridade. Utilizamos anestesia local sempre que necessário, garantindo que você não sinta dor durante o procedimento. Além disso, utilizamos tecnologias como o Ultrassom Piezoelétrico, que remove o tártaro através de vibrações sônicas delicadas e irrigação morna, tornando o pós-operatório muito mais tranquilo.

Qual a diferença entre Gengivite e Periodontite?

A gengivite é a inflamação inicial da gengiva, causada por placa bacteriana, e é totalmente reversível com limpeza e higiene correta. Se não tratada, ela evolui para a Periodontite. Na periodontite, a infecção atinge o osso que sustenta o dente, causando perda óssea irreversível. O tratamento visa paralisar essa perda e manter o dente na boca.

É normal a gengiva sangrar ao passar o fio dental?

Não, gengiva saudável nunca sangra. O sangramento é o principal sinal de alarme do corpo indicando inflamação (gengivite) ou infecção ativa. Se você notar sangue na escovação ou no fio dental, não pare de limpar, mas agende uma avaliação imediatamente para evitar que o quadro evolua.

A gengiva retraída volta a crescer sozinha?

Não. Uma vez que a gengiva retrai e o osso é perdido, eles não crescem novamente de forma espontânea. No entanto, é possível tratar a causa para impedir que a retração piore e, em muitos casos, realizar cirurgias de recobrimento radicular (enxerto gengival) para cobrir a raiz exposta, melhorando a estética e eliminando a sensibilidade.

De quanto em quanto tempo devo fazer a manutenção periodontal?

Depende do seu perfil de risco. Para pacientes com histórico de periodontite, o intervalo ideal é a cada 3 ou 4 meses. Esse tempo é calculado com base no ciclo de reprodução das bactérias nocivas. Para pacientes saudáveis, a prevenção a cada 6 meses é suficiente. Nosso protocolo é individualizado para cada caso.

Não é melhor extrair o dente com doença periodontal e colocar um implante?

Nem sempre. Nossa filosofia é conservadora: o melhor implante é o seu dente natural. Tratamos a doença periodontal para estabilizar o dente sempre que possível. A extração é o último recurso. Além disso, a doença periodontal não tratada pode comprometer o osso, dificultando a instalação de implantes futuros. Primeiro, recuperamos a saúde da sua boca.

O mau hálito vem sempre do estômago?

Isso é um mito. Estudos indicam que em cerca de 90% dos casos, a origem do mau hálito é bucal, provocado principalmente por saburra lingual (placa na língua) e doenças gengivais (periodontite). Tratar o estômago não resolverá o problema se a causa for bacteriana na boca. Realizamos o diagnóstico preciso para tratar a causa real.

Estou grávida. Posso fazer tratamento de gengiva?

Deve! As alterações hormonais na gestação aumentam o risco de inflamação gengival (gengivite gravídica). Mais importante ainda: estudos associam a doença periodontal ativa ao risco de parto prematuro e bebês com baixo peso. O tratamento preventivo durante a gravidez é seguro e fundamental para a saúde da mãe e do bebê.

Faça sua profilaxia dentária na Velasco odontologia